Ovário
Os ovários, situados na pelve, são órgãos classicamente descritos como em formato de amêndoa, medindo 3 cm de comprimento, 1,5 a 2 cm de largura e 1 cm de espessura. A sua camada mais superficial é composta por um epitélio pavimentoso ou cúbico simples chamado de epitélio germinativo. Abaixo dessa camada, há uma cápsula de tecido conjuntivo denso não modelado chamada de túnica albugínea, responsável pela cor esbranquiçada do ovário. O ovário está subdividido em região cortical, a qual predominam folículos ovarianos e medular, composta por tecido conjuntivo frouxo altamente vascularizado.

Nessa imagem, é possível visualizar a região cortical e medular do ovário.
Com destaque à região cortical, há diferentes tipos de folículos ovarianos em desenvolvimento, todos elencados abaixo:
- Folículo primordial: Formado ainda no período fetal, é composto por um ovócito primário circundado por uma camada de células pavimentosas.

Nessa imagem, é possível visualizar um folículo primordial circundado por suas células pavimentosas. Ele está localizado no córtex ovariano.
- Folículo primário (unilaminar): Após algumas mudanças no folículo primordial, o processo de mitose e, principalmente, aumento de volume, leva a formação do folículo primário cuja composição consiste em uma camada única de células que agora são cuboides.

Nessa imagem, é possível visualizar um folículo primário unilaminar com uma camada de células cuboides.
- Folículo primário multilaminar: Devido a uma intensa proliferação, agora a camada única do folículo primário origina uma camada de epitélio estratificado, denominado também de camada granulosa. Durante este estágio surge uma substância amorfa (zona pelúcida) separando o ovócito das células foliculares circundantes. Células do estroma começam a se organizar formando a teca interna, uma camada celular vascularizada, e a teca externa uma camada de tecido conjuntivo fibroso. Esse folículo, então, é chamado de folículo primário multilaminar.

Nessa imagem, é possível visualizar um folículo primário multilaminar com seu epitélio estratificado e a presença de teca interna e externa.
- Folículo secundário (ou antral): Seguindo para um estágio mais avançado de desenvolvimento, há formação de várias camadas de células da granulosa a qual se reorganiza acompanhada de pequenos espaços, a união desses origina uma cavidade (antro folicular) que são gradualmente preenchidos por líquido folicular, cujo aparecimento determina a formação do folículo secundário. Nessa reorganização para formar o antro, surge um acúmulo pontual na parede do folículo de células da granulosa, o qual é chamado de cúmulus oophorus. Além disso, há a formação de uma camada simples de células foliculares envolvendo o ovócito primário chamada de corona radiata.

Nessa imagem, é possível visualizar a formação do antro folicular no folículo secundário.
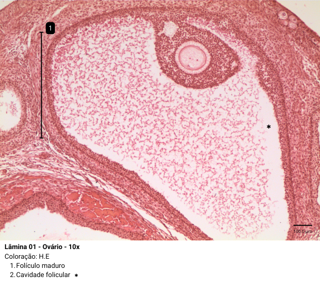
- Folículo maduro (pré-ovulatório ou de Graaf): O folículo maduro ou dominante, é o folículo que se encontra no estágio máximo de desenvolvimento e que prossegue até a ovulação. Seu tamanho é proeminente, cerca de 2,5 cm, chegando a formar uma protuberância que pode ser detectada por ultrassom. Com o progressivo acúmulo de líquido, ocorre aumento da cavidade folicular seguido de afinamento da camada da granulosa, uma vez que essas células não proliferam proporcionalmente ao crescimento cavitário. Esse acúmulo, também, leva ao afastamento do cumulus oophorus de sua base, onde permanece flutuando livremente no líquido folicular.

Nessa imagem, é possível visualizar o folículo maduro com a presença da cavidade folicular.


