Glândulas mamárias
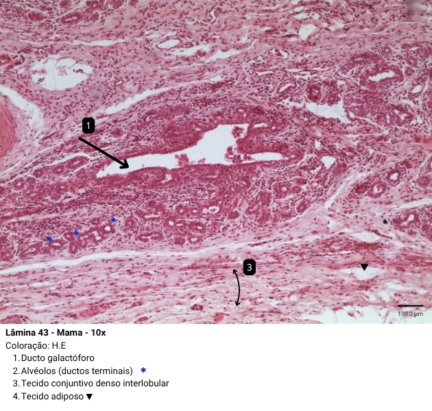
Formada de 15 a 25 lóbulos cada, a glândula mamária é do tipo tubuloalveolar (tubuloacinosa) composta e sua principal função é a secreção de leite para nutrição do recém nascido. Cada lóbulo é separado por tecido conjuntivo denso (interlobular), sendo considerado uma glândula individualizada com seu próprio ducto excretor, o ducto galactóforo. Esses ductos possuem um epitélio simples cilíndrico/cúbico e são longitudinais, conduzindo o leite para o exterior pelo seio galactóforo – dilatação do ducto próximo a sua abertura no mamilo e com epitélio estratificado cilíndrico/cúbico. Vale ressaltar que as células mioepiteliais envolvem os lóbulos e ductos e que cada lóbulo é imerso em tecido conjuntivo frouxo (intralobular) muito celularizado.
Antes da puberdade, as glândulas mamárias possuem apenas os seios e ductos galactóforos rudimentares. Na puberdade feminina, elas se desenvolvem como característica sexual secundária, com aumento de gordura, tecido conjuntivo e ramificação dos ductos, impulsionados pelos estrógenos. Durante o ciclo menstrual, há alterações discretas nas mamas, como proliferação celular e aumento de volume pela hidratação do tecido conjuntivo. Nos meninos, as mamas permanecem planas.
Durante a gravidez, as glândulas mamárias crescem intensamente sob influência de hormônios como estrógenos, progesterona, prolactina e lactogênio placentário, que estimulam a formação dos alvéolos — estruturas esféricas formadas por células epiteliais responsáveis pela secreção de leite. Cada alvéolo é envolvido por células mioepiteliais, que ajudam na ejeção do leite. Nesse período, a aréola também escurece devido ao acúmulo local de melanina.
Ademais, o tecido conjuntivo ao redor dos alvéolos contém linfócitos e plasmócitos, que aumentam no fim da gestação, produzindo IgA para proteger o recém-nascido. Quanto à lactação, o tecido adiposo e conjuntivo diminui, dando lugar ao parênquima glandular ativo.
Após a menopausa, as glândulas mamárias passam por involução devido à queda hormonal, com redução das porções secretoras, atrofia dos ductos e alterações no tecido conjuntivo.

Nessa imagem, é possível observar a glândula mamária e as suas estruturas constituintes.
 
        

